نمونه کار ترمیمی و زیبایی
.

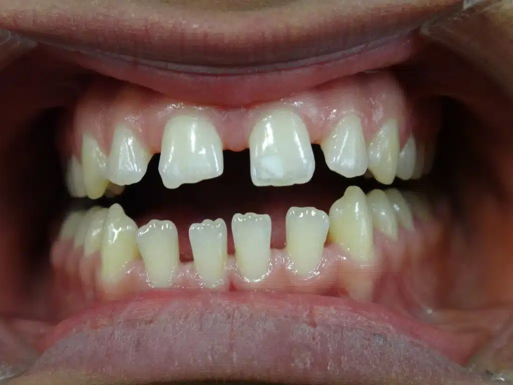
قبل از ترمیم و زیبایی(1)

(1)بعد از درمان ترمیم و زیبایی

قبل از ترمیم و زیبایی(2)

(2)بعد از درمان ترمیم و زیبایی
لینک کوتاه:
https://shahed.ac.ir/?p=51645
.

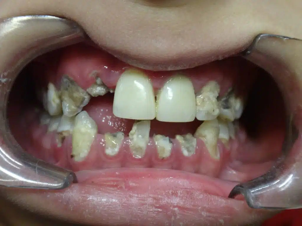
قبل از ترمیم و زیبایی(1)

(1)بعد از درمان ترمیم و زیبایی

قبل از ترمیم و زیبایی(2)

(2)بعد از درمان ترمیم و زیبایی
لینک کوتاه:
https://shahed.ac.ir/?p=51645